Koksartrooos - See on puusaliigese artroos.
See areneb järk -järgult, mitu aastat progresseerumisele, võib olla nii üks kui ka kahekordne. Sellega kaasneb valu ja liigese liikumise piiramine. Hilisemates etappides täheldatakse puusalihaste atroofiat ja jäseme lühenemist. Diagnoos luuakse kliiniliste sümptomite ja radiograafia tulemuste põhjal. Koksartroosi varases staadiumis konservatiivne ravi. Liigendi hävitamisega, eriti noorte ja keskeaga patsientidel, on näidatud kirurgia (endoprosthetics).
Üldinfo
Coksartros (puusaliigese osteoartroos või deformeeruv artroos) on degeneratiivne düstroofne haigus. Tavaliselt areneb see 40 -aastaselt ja vanemalt. See võib olla erinevate vigastuste ja liigesehaiguste tagajärg. Mõnikord ilmneb see ilma nähtava põhjuseta. Coksartrosis iseloomustab järkjärguline progresseeruv kursus. Varases staadiumis kasutatakse konservatiivseid ravimeetodeid. Hilisemates etappides saab liigesefunktsiooni taastada ainult operatsiooni.
Ortopeedias ja traumatoloogias on koksartroos üks levinumaid artroosi. Selle arengu kõrgsagedus on tingitud märkimisväärsest puusaliigese koormusest ja kaasasündinud patoloogia düsplaasia laialdasest levikust. Naised kannatavad koksartrosis pisut sagedamini kui mehed.
Koksartroroosi põhjused
Eristatakse puusaliigese primaarset (tekkivad teadmata põhjustel) ja sekundaarset (välja töötatud muude haiguste tagajärjel) artroosi.
Teisene koksartros võib olla järgmiste haiguste tulemus:
- Puusaliigese düsplaasia.
- Reie kaasasündinud nihestus.
- Pertesi haigused.
- Reie pea aseptiline nekroos.
- Nakkuslikud kahjustused ja põletikulised protsessid (näiteks puusaliigese artriit).
- Vigastused (traumaatilised nihestused, puusa kaela luumurrud, vaagnamurrud).
Coksartros võib olla kas üks või kahepoolsed. Primaarse koksartroosi korral täheldatakse sageli lülisamba (osteokondroos) ja põlveliigese (gonartrosis) samaaegset kahjustust.
Riskitegurid
Koksartroosi arengu tõenäosuse suurendamise tegurite hulgas on järgmine:
- Pidev suurenenud koormus liigesele. Kõige sagedamini täheldatakse sportlastel inimestel, kellel on liigne kehakaal.
- Vereringehäired, hormonaalsed muutused, metaboolsed häired.
- Lülisamba patoloogia (kyphosis, skolioos) või peatus (lamedad jalad).
- Eakad ja seniilsed vanus.
- Istuv elustiil.
Coksartrosis ise pole päritud. Kuid vanemate käest saab teatud tunnused (metaboolsed häired, luustiku struktuurilised omadused ja kõhre nõrkus). Seetõttu on koksartroosi all kannatavate vere sugulaste esinemisel haiguse esinemise tõenäosus pisut suurenenud.
Patanatoomia
Puusaliigese moodustavad kaks luu: iileum ja reieluu. Reie pea on liigendatud niude luu atsetabulumiga, moodustades omapärase hinge. Liikumise ajal jääb atsetabulum liikumatuks ja reieluupea liigub erinevates suundades, tagades paindumise, pikendamise, röövimise, toomise ja pöörlemispuude.
Liigutuste ajal libisevad luude liigesepinnad üksteise suhtes võrreldes tänu sujuvale, elastsele ja vastupidavale hüalini kõhrele, mis katab pöörleva õõnsuse õõnsuse ja reie pea. Lisaks täidab hüaliin kõhre šokki -absorbeerimisfunktsiooni ja on seotud koormuse ümberjaotamisega liikumise ja kõndimise ajal.
Liigesõõnes on väike kogus liigendvedelikku, mis mängib määrimise rolli ja pakub hüaliini kõhre toitumist. Liigendit ümbritseb tihe ja tugev kapslik. Kapsli kohal on suured reie- ja tuharalihased, mis tagavad liigese liikumised ja koos hüalini kõhrega on ka amortisaatorid, mis kaitsevad liigest vigastuste eest ebaõnnestunud liigutustega.
Koksartroosi korral muutub liigendi vedelik paksemaks ja viskoossemaks. Hüaliini kõhre pind kuivab, kaotab sujuvuse, kaetud pragudega. Tekkinud kareduse tõttu on kõhre liikumiste ajal pidevalt vigastatud, mis põhjustab nende hõrenemist ja raskendab liigese patoloogilisi muutusi. Koksartroosi edenedes hakkavad luud deformeeruma, „kohanedes” suurenenud survega. Ainevahetus liiges halveneb. Koksartroosi hilisemates etappides täheldatakse valusa jäseme lihaste rasket atroofiat.
Koksartroosi sümptomid
Haiguse peamisteks sümptomiteks on valu liigese, kubemepiirkonna, reie ja põlveliigese korral. Samuti täheldatakse kokesartoroosi, liikumiste jäikust ja liigese häiret, kõnnakuid, haletsust, puusalihaste atroofiat ja jäseme lühenemist kahjustuse küljel. Coksartrosi iseloomulik tunnusjoon on röövimise piiramine (näiteks patsiendil on keeruline toolil istudes proovida). Teatud märkide olemasolu ja nende raskusaste sõltub koksartroosi etapist. Esimene ja kõige pidevam sümptom on valu.
Juures 1. astme koksartros Patsiendid kaebavad perioodilise valu üle, mis ilmneb pärast kehalist aktiivsust (jooksmine või pikaajaline kõndimine). Valu lokaliseeritakse liigeses, harvemini reie või põlves. Pärast puhkamist kaob see tavaliselt. 1. astme koksartroosi kõnnak ei ole katki, liigutused säilitatakse täielikult, lihaste atroofiat pole.
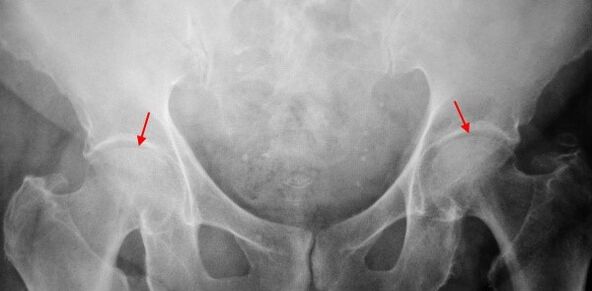
Esimese astme koksartroosi all kannatava patsiendi x -ray korral määratakse kerged muutused: liigese lõhe mõõdukas ebaühtlane kitsenemine, samuti luude kasv atsetabulumi välise või sisemise serva ümber, kui reieluu pea ja kaela muutusi puuduvad.
Juures Coksartros 2 kraadi Valu muutub intensiivsemaks, ilmneb sageli puhkeasendis, kiirgab reie ja kubemesse. Pärast olulist füüsilist aktiivsust hakkab koksartrosiga patsient lonkama. Liiges liikumiste maht väheneb: reie röövimine ja sisemine pöörlemine on piiratud.
Teise astme koksartroosi x -ray -piltide korral määratakse liigeselõhe oluline ebaühtlane kitsenemine (rohkem kui poole normaalsest kõrgusest). Reieluupea on mõnevõrra nihutatud ülespoole, deformeerunud ja suureneb ning selle kontuurid muutuvad ebaühtlaseks. Luude kasvu selle koksartroosi astmega ei ilmu mitte ainult sisemisel, vaid ka atsetabulumi välimisel servas ja lähevad kõhrest väljapoole.
Juures Coksartros 3 kraadi Valu muutub konstantseks, mureks patsientide pärast mitte ainult päeval, vaid ka öösel. Kõndimine on kolimisel keeruline, sunnitud kokarroosiga patsient suhu kasutama. Liiges liikumiste maht on järsult piiratud, tuhara, puusade ja jalgade lihased on atroofeerunud. Reie eemaldatavate lihaste nõrkus saab vaagna kõrvalekalde põhjuseks esiplaanil ja lühendab jäseme valul. Lühendamise kompenseerimiseks kallutab Coksartrosis kannatav patsient kõndides keha valusasse suunas. Seetõttu nihkub raskusjõu keskpunkt, valuliku liigendi koormus suureneb järsult.
Kolmanda astme koksartroosi radiograafidel tuvastatakse liigese lõhe järsk kitsenemine, reie pea hääldatud laienemine ja mitu luude kasvu.
Diagnostika
Koksartroosi diagnoosimine põhineb kliinilistel märkidel ja täiendavate uuringute andmetel, mille peamine on radiograafia. Paljudel juhtudel võimaldavad X -Rays kindlaks teha mitte ainult koksartroosi aste, vaid ka selle esinemise põhjus. Näiteks kaeladiafüüsi nurga suurenemine, atsetabulumi stseenid ja lamenemine näitavad düsplaasiat ning reieluu proksimaalse osa kuju muutused on näidatud, et koksartroos on Pertesi tõve või noorusliku epifüsiolüüsi tagajärg. Koksartroosiga patsientide radiograafidel võib tuvastada ka muutusi, mis näitavad vigastusi.
Kuna koksartroosi muude instrumentaalse diagnoosimise meetodid, saab kasutada CT ja MRI. Kompuutertomograafia võimaldab teil uurida patoloogilisi muutusi detailide kaupa ja magnetresonantstomograafia annab võimaluse hinnata häireid pehmete kudede abil.

Diferentsiaaldiagnostika
Esiteks tuleks koksartroos diferentseerida gonartroosist (põlveliigese osteoartroos) ja selgroo osteokondroosist. Lihaste atroofia, mis esineb koksartroosi 2 ja 3 etapis, võib põhjustada valu põlveliigeses, mida sageli väljendatakse heledamalt kui kahjustuste piirkonnas. Seetõttu on patsiendi kaebuste korral põlvevalu kohta kliiniline (kontrollimine, palpatsioon, liikumiste mahu määramine) puusaliigese uurimine ja kui kahtlustatakse koksartroosi, suunatakse patsient radiograafiasse.
Radikulaarse sündroomi valu (närvijuurte kokkusurumine) osteokondroosi ja mõned muud selgroohaigused võivad valu jäljendada koksartroosiga. Erinevalt Coksartrosis on juurte pigistamisel valu äkki, pärast ebaõnnestunud liikumist, teravat pööret, raskuste tõstmise jms lokaliseerub tuhara piirkonnas ja levib mööda reie tagaosa. Tuvastatakse pinge positiivne sümptom - raske valu, kui patsient üritab sirgendatud jäseme tõsta, seljal lamades. Samal ajal viib patsient vabalt jala küljele, samal ajal kui koksartrosiga patsientidel on röövimine piiratud. Tuleks meeles pidada, et osteokondroosi ja koksartroroosi võib täheldada samal ajal, seetõttu on kõigil juhtudel vajalik patsiendi põhjalik uurimine.
Lisaks diferentseeritakse kokesartrosis trokanteriidiga (boot bursiit) - aseptiline põletik gluteraali lihaste kinnitumise piirkonnas. Erinevalt koksartroosist areneb haigus kiiresti, 1-2 nädala jooksul, tavaliselt pärast vigastust või olulist füüsilist aktiivsust. Valu intensiivsus on suurem kui koksartrosis. Liikumiste piiranguid ja jäseme lühenemist ei täheldata.
Mõnel juhul võib haiguse või reaktiivse artriidi ebatüüpilise käiguga täheldada koksartroosi sarnaseid sümptomeid. Erinevalt koksartroosist langeb nende haiguste korral valu tipp. Valu sündroom on väga intensiivne, võib kõndimisel väheneda. Hommikune jäikus on iseloomulik, mis toimub kohe pärast ärkamist ja kaob järk -järgult mõne tunni jooksul.
Koksartroosi ravi
Patoloogia ravi tegeleb traumatoloogi ortopeedistidega. Ravimeetodite valik sõltub haiguse sümptomitest ja staadiumist. Koksartroosi 1 ja 2 etapis viiakse läbi konservatiivne ravi. Koksartroosi ägenemise perioodil kasutatakse süstimisplokke, mitteteroidseid põletikuvastaseid ravimeid (pürokseid, indometatsiin, diklofenaki, ibuprofeen jne). Tuleks meeles pidada, et selle rühma ravimeid ei soovitata pikka aega, kuna need võivad siseorganitele negatiivselt mõjutada ja pärssida hüaliini kõhre võimet taastada.
Koksartrosi kahjustatud kõhre taastamiseks kasutatakse kondronprotektorite rühma (kondroitiinsulfaat, kõhre ekstrakt jne) vahendeid. Vere vereringe parandamiseks ja väikeste veresoonte spasmi likvideerimiseks on ette nähtud vasodilaleerivad ravimid (zinnarisiin, nikotiinhape, pentoksifilliin, ksanthinool nikotiinaat). Näidustuste kohaselt kasutatakse lihasrelaksante (lihaste lõdvestusravimid).
Kannakal valu sündroomiga võib koksartrosis kannatavatele patsientidele hormonaalseid ravimeid (hüdrokortisoon, triamtsinoloon, Metromor) välja kirjutada intraartikulaarseid süste. Ravi steroididega tuleb läbi viia ettevaatusega. Lisaks kasutatakse koksartroosiga kohalikke tooteid - soojendussalvi, millel pole väljendunud terapeutilist toimet, kuid mõnel juhul leevendavad need lihasspasmi ja vähendavad valu nende häiriva toime tõttu. Samuti on koksartroosi korral välja kirjutatud füsioterapeutilised protseduurid (helendav, ultraheli teraapia, laserravi, UHF, indutseermia, magnetoteraapia), massaaž, manuaalteraapia ja terapeutiline võimlemine.
Koksartrosi dieedil ei ole sõltumatut terapeutilist toimet ja seda kasutatakse ainult kaalu vähendamiseks. Kehakaalu vähendamine võimaldab teil vähendada puusaliigeste koormust ja hõlbustada selle tulemusel Coksartrosi kulgu. Liigendi koormuse vähendamiseks võib arst sõltuvalt koksartroosi astmest soovitada kõndida suhkruroo või karkudega.
Hilisemates etappides (koos 3. astme koksartroosiga) on ainus tõhus ravimeetod operatsioon - asendamine hävitatud liigend endoproteesiga. Sõltuvalt kahjustuse olemusest võib kasutada kas ühekordset (ainult reiepea asendamist) või kahepoolset (asendades nii reie pea kui ka pöörleva õõnsuse).
Koksartroosi endoproteetika toimimine toimub kavandatud viisil pärast täielikku uurimist üldanesteesia all. Operatsioonijärgsel perioodil viiakse läbi antibiootikumravi. Õmblused eemaldatakse 10–12 päeva jooksul, mille järel patsient on välja kirjutatud ambulatoorseks raviks. Pärast endoproteetikat peetakse tingimata rehabilitatsioonimeetmeid.
95% juhtudest tagab liigese asendamiseks koksartroosiga kirurgiline sekkumine jäseme funktsiooni täieliku taastamise. Patsiendid saavad töötada, aktiivselt liikuda ja isegi sportida. Proteesi keskmine kasutusaega, mille kohaselt on kõik soovitused, on 15-20 aastat. Pärast seda on kulunud endoproteesi asendamiseks vaja teist operatsiooni.























